ESTUDIOS POR IMAGENES EN PACIENTES CON VERTIGO-DESEQUILIBRIO
El proceso  diagnóstico en pacientes con vértigo, mareos y desequilibrio, comienza con la evaluación precisa de la historia clínica del paciente  (síntomas  asociados, duración de los síntomas, intervenciones quirúrgicas anteriores, eventos traumáticos, infecciones, etc ) seguido de un examen físico y otoneurológico general. Una otoscopia también es necesaria y parte del proceso diagnóstico. En este nivel, a menudo  los datos obtenidos resultan  suficientes para identificar la causa correcta de los síntomas o, al menos, para distinguir entre vértigo periférico y central (oído versus cerebro). Para colaborar en el diagnostico en situaciones no muy claras , se pueden requerir diferentes estudios diagnóstico complementarios , incluyendo exámenes de laboratorio, electrocardiograma, ecografía Doppler, respuestas auditivas evocadas del tronco cerebral, electro o videonistagmografía, audiometría, etc.    
Dentro de la Investigaciones neurorradiológicas (estudio por imágenes) se incluyen: tomografía computarizada (TC), resonancia magnética (RM), Angiografía por resonancia (ARM) y angiografía digital.
Paradójicamente los exámenes utilizados con mayor frecuencia en el diagnostico del vértigo, son las radiografías de columna cervical y eco Doppler de los vasos del cuello, los cuales NO son en realidad exámenes de primera elección, pero se pueden utilizar si no se ha logrado determinar la causa del cuadro clínico con el resto de los estudios (vea la sección de vértigo cervical).
En esta sección veremos distintas alteraciones neuroradiológicas que acompañan a ciertas enfermedades, aquí las imágenes fueron claves para lograr el diagnóstico.
 Dentro de la Investigaciones neurorradiológicas (estudio por imágenes) se incluyen: tomografía computarizada (TC), resonancia magnética (RM), Angiografía por resonancia (ARM) y angiografía digital.
Paradójicamente los exámenes utilizados con mayor frecuencia en el diagnostico del vértigo, son las radiografías de columna cervical y eco Doppler de los vasos del cuello, los cuales NO son en realidad exámenes de primera elección, pero se pueden utilizar si no se ha logrado determinar la causa del cuadro clínico con el resto de los estudios (vea la sección de vértigo cervical).
En esta sección veremos distintas alteraciones neuroradiológicas que acompañan a ciertas enfermedades, aquí las imágenes fueron claves para lograr el diagnóstico.
CASOS CLINICOS
CASO 1:Paciente con desequilibrio progresivo para caminar, pérdida progresiva de la audición y fallas en la memoria:
Diagnóstico final: HEMOSIDEROSIS
SUPERFICIAL. 
Caso 2:
Mujer, 70 años,
presenta un vértigo agudo,
intolerancia posicional , zumbidos e hipoacusia de  oído derecho de varios meses.
La Resonancia
de cerebro y de los peñascos (oído), muestran una imagen redondeada que brilla
con contraste ubicada dentro del laberinto del oído derecho. Específicamente en
el vestíbulo.
Diagnóstico
final: NEURINOMA INTRA-LABERINTICO.
Caso 3
Caso similar al previo
Vea en el siguiente
caso,  un pequeño neurinoma del 8º par (nervio cocleo-vestibualr) izquierdo no
diagnosticado con estudios habituales previos. Para los casos con sospecha
clínica solida tiene gran valor hacer cortes finos coronales en secuencias T1
con y sin contraste. 
Diagnóstico Presuntivo:  NEURINOMA INTRA-CANALAR microscópico 
Caso 4
Mujer de 64 años, desde hace 2 años presenta, dolor
cervical, dificultad para tragar, inestabilidad al camina y vértigo al mover la
cabeza.
La Resonancia muestra, partes del cerebelo (amígdala
cerebelosa) herniadas a través del foramen magno, llegando hasta los primero
segmentos cervicales y generando compresión del tronco y de la medula.
Diagnóstico final: MALFORMACION DE CHIARI
Caso 5:
Paciente con vértigo generado al levanta peso, al defecar y
durante el coito. Es decir con el aumento de la presión torácica. También nota sensibilidad
anormal a los sonidos.
La tomografía del peñasco, en formato video, muestra la
usencia del techo del canal semicircular superior de lado derecho.
Diagnóstico: Dehiscencia del canal superior.
Un caso similar puede verlo en el siguiente link de:
Medical MYSTERIES: The Musician who heard too much (El músico que oía demasiado). Un paciente que podía oír hasta el movimiento de sus ojos o el peine al pasar por sus cabellos.
Caso 5 (bis): Otro caso de
Dehiscencia del canal superior  bilateral,  en un caso cuyo síntoma era acufeno (ruido en el oído) pulsátil (con el ritmo del latido cardíaco). Uno
de los síntomas característicos de este cuadro. Las flechas rojas muestran el
lugar del defecto óseo en ambos peñascos.
Medical MYSTERIES: The Musician who heard too much (El músico que oía demasiado). Un paciente que podía oír hasta el movimiento de sus ojos o el peine al pasar por sus cabellos.
Caso 6:
Paciente con inestabilidad, temblor de la voz, y nistagmus
pendular. De aparición tardía a un evento vascular isquémico. Clínicamente presentaba
un temblor oculo-palatino.
En la resonancia de cerebro, se ve a nivel bulbar unilateral
derecho, un aumento de señal focal en la secuencia T2 , correspondiente anatómicamente
a la oliva bulbar. 
Diagnóstico radiológico: DEGENERACION HIPERTROFICA DE LA OLIVA BULBAR.
Caso 7
Caso 7
En la siguiente RNM de ambos
peñascos, puede verse un “loop” o rulo arterial que contacta con el 8º par
(cocleo-vestibular). Ocasionalmente este contacto genera síntomas clínico,
configurando un cuadro denominado Paroxísmia vestibular. 
Diagnostico: Conflicto o contacto
neurovascualr del nervio cocleo-vestibular
--------------------------
--------------------------
Otro caso similar al anterior, en este caso una arteria de mayor calibre en contato con el paquete facio-acústico-vestibular (sobre el lado
derecho =flecha roja). Note la ausencia de un defecto equivalente en el otro
lado:
 Caso 8
Paciente con inestabilidad, parálisis facial periférica izquierda, acufeno pulsátil
e  hipoacusia progresiva del mismo
lado. 
En la secuencia T1 coronal de RNM a nivel de ambos peñascos, se evidencia un
estructura sobre el lado izquierdo que realza intensamente con contraste de
aspecto vascular. 
Diagnóstico: Glomus yugular
izquierdo.
Caso 9
Paciente que presenta luego de un cuadro infeccioso viral, una
hipoacusia aguda y vértigo.
En la RNM de encéfalo, se evidenció un aumento en la señal
con contraste del laberinto del lado izquierdo.
Diagnostico: Laberintítis aguda (viral)  
Conclusión: síndrome vestíbulo cerebeloso asociado a una atrofia flocular secuelar
  
Caso
10:
El siguiente
paciente presentó vértigo inducido por el esfuerzo físico.
La Tomografía
computada de ambos peñasco muestra una solución de continuidad (o defecto óseo) en la
pared posterior de ambos canales semicirculares posterior (flecha roja).
Diagnostico: Dehiscencia bilateral del canal semicircular
posterior.
 
Caso 11
Paciente
de 66 años, que presenta caídas frecuentes 
en el contexto de un cuadro parkinsoniano y alteraciones oculomotoras
(supranucleares) en el plano vertical. Al momento de la consulta 2011,
presentaba una evolución de 3 años. Para más detalles clínicos vea la página de
alteraciones oculomotoras centrales. 
En la Resonancia magnética
de cerebro (sagita T1) se muestra la evolución de las imágenes desde el 2008 al
2011. Note la involución de las estructuras mesecefálica. Asimilando un pico de
colibrí,  se lo denomina “signo del
colibri” (hummingbird' sign), por su afinamiento distal.
Diagnostico
clínico-radiológico: Parálisis supranuclear progresiva.
Caso12:
El siguiente video muestra una secuencia de imágenes tomograficas del peñasco izquierdo, donde puede verse las distintas estructuras del laberinto. Los canales semicirculares , el vestíbulo y una estructura clave en forma de "Y" cuyo brazo inferior es la denominada cruz común que une el canal semicircular anterior y posterior.
Conclusión: Tomografía del peñasco
izquierdo normal
El siguiente video muestra una secuencia de imágenes tomograficas del peñasco izquierdo, donde puede verse las distintas estructuras del laberinto. Los canales semicirculares , el vestíbulo y una estructura clave en forma de "Y" cuyo brazo inferior es la denominada cruz común que une el canal semicircular anterior y posterior.
Caso
13
Paciente de 20 años que presento hace 5 años un cuadro de
ataxia y nistagmus vertical hacia abajo (vea la página-  síndrome vestibular central) de comienzo agudo
compatible con una cerebelítis aguda post infecciosa. Como secuela actual de
ese cuadro presenta un intenso nistagmus vertical hacia abajo (down beat) y
desequilibrio leve en la marcha.  Las imágenes
de Resonancia del cerebelo actuales muestran claramente una atrofia del floculo
cerebeloso (imagen izquierda) cuando es comparada con una de un sujeto normal
(imagen de la derecha).
Conclusión: síndrome vestíbulo cerebeloso asociado a una atrofia flocular secuelar
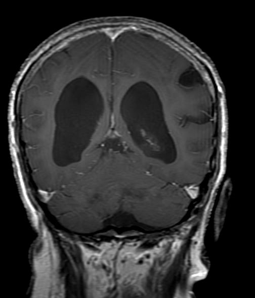
Caso 14
Paciente de 68 años que presenta desequilibrio en la marcha (con
marcha
a pasos cortos y arrastrados), incontinencia urinaria y fallas
en la memoria, de 5 años de evolución. La siguiente RNM de cerebro (cortes
coronales T1 con contraste), muestra claramente una dilatación del sistema
ventricular supratentorial. En el resto de las secuencias no pudo identificase
una clara obstrucción en la circulación del liquido cefalorraquídeo.
Diagnóstico:
Hidrocefalia crónica del adulto.
La localización más frecuente de los osteomas en el hueso temporal son la cortical mastoidea y el conducto auditivo externo (CAE). La presentación en el conducto auditivo interno (CAI) es excepcional.
 
La imagen de la derecha se trata de una tomografía computada (corte axial) y la de la izquierda una RNM en secuencia T1 (sagital). Donde se ve una formación heterogénea con componente cálcico a nivel selar y supra-selar.
Diagnóstico: Craneofaringioma selar
 
Caso 15:
Paciente de 28 años con hipoacusia y vértigo recurrente, compatible con un síndrome de Meniere del oído derecho.
Ocasionalmente, si las secuencias adquiridas durante la resonancia
no son las adecuadas, pueden llevar a errores diagnósticos, especialmente si no
se realizan secuencia con contraste. El siguiente caso muestra una imagen en el conducto
auditivo interno derecho, proyectada hacia la cisterna cerebelo pontina que podría ser compatible con un neurinóma del acústico, sin embargo los
cortes coronales mostraron que se trataba de un osteoma de la punta del peñasco (imagen en el círculo). En estos casos la tomografía computada de peñascos es una herramienta diagnóstica mas adecuada .
En caso mencionado la clínica de este paciente no impresiona relacionada con el hallazgo imagenológico.
En caso mencionado la clínica de este paciente no impresiona relacionada con el hallazgo imagenológico.
La localización más frecuente de los osteomas en el hueso temporal son la cortical mastoidea y el conducto auditivo externo (CAE). La presentación en el conducto auditivo interno (CAI) es excepcional.
Diagnóstico: Osteoma del canal auditivo interno derecho.  
(Osteoma of the internal auditory canal).
Caso
16:
Paciente de
30 años que consultó por cefalea, vértigo visual y trastornos hormonales de
varios años de evolución.

La imagen de la derecha se trata de una tomografía computada (corte axial) y la de la izquierda una RNM en secuencia T1 (sagital). Donde se ve una formación heterogénea con componente cálcico a nivel selar y supra-selar.
Diagnóstico: Craneofaringioma selar
Caso
17: 
Paciente con antecedentes de haber sido intervenido quirúrgicamente
de un neurinóma del 8º par derecho. En la siguiente Resonancia de ambos
peñascos se evidencia la diferencia entre el paquete Facio-acústico izquierdo
(completo) con todos sus componentes  –flecha
verde, y el lado derecho donde solo se evidencia una rama (flecha roja).
Caso
18: 
El siguiente caso se trata de una paciente que sufría
acufenos (sensación de ruidos en los oídos), desequilibrio para caminar, hipoacusia, dolor
de cabeza y fallas en la memoria y en la atención.
Vea la siguiente Resonancia de cerebro donde se evidencia un hematoma
subdural crónico (el espacio color negro que se ve entre ambas flechas
corresponde al espacio suddural), note como se encuentra el parénquima cerebral
“empujado” hacia la parte central producto del liquido interpuesto en el espacio
subdural). En este caso el color negro (hipointeso) del líquido habla de un líquido
pobre en proteínas y restos hemáticos, es decir es típicamente “crónico”. 
 
Múltiples causas pueden generar un hematoma sud-dural crónico:
- Traumatismo de cráneo.
 - Hematoma sudural espontaneo (sin causa aparente)
 - Hipotensión de líquido cefalorraquídeo.
 - Problemas de coagulación.
 - El consumo de alcohol en forma crónica y la edad avanzada son factores de riesgo para sufrirlo.
 
Diagnóstico final del caso: Hematoma subdural crónico bilateral con
manifestaciones cocleo–vestibulares y cognitivas.
Caso 19:
Paciente de 38 años que sufrió un traumatismo de cráneo en un
accidente automovilístico.  Evolucionando
con hipoacusia  del Oído izquierdo, vértigo
y lateropulsión a izquierda.
La tomografía computada (ventana ósea) muestra múltiples tazo fracturários en la
escama temporal y orbita izquierda.  Ocupación
de las cedillas mastoideas del lado izquierdo, compatible con restos hemáticos. 
Diagnóstico: Fractura del hueso temporal y orbita, asociado a
una contusión laberíntica izquierda.
  
Caso 20: 
Paciente de
60 años que presentó un episodio súbito de vértigo intenso asociado a vómitos
que se limitó en 12 hrs, al día siguiente, reapareció un cuadro similar, pero
el vértigo se desencadenaba con los cambios de posición, asociado a dificultad
para caminar por el desequilibrio. Nuevamente mejoro en Horas.
La siguiente
RNM de encéfalo (secuencia T2) realizada a los pocos días del cuadro muestra múltiples
lesiones de aspecto vascular a nivel del cerebelo parasagital y en paraflóculo o Amigdala derecha (Flechas rojas).
El control radiológico a los 6 meses, muestra una reducción
de algunas las lesiones y desaparición de otras.
En el estudio de los vasos del cuello e intracraneanos muetra un marcado defecto en la arteria verterbal derecha con un afinamiento distal. 
Este ejemplo muestra como el estudio por imágenes realizados
tardíamente pueden no mostrar la gravedad real del cuadro inicial.
Sin embargo la presencia de lesiones de aspecto vascular crónico
involucrando estructuras del equilibrio puede apoyar el diagnostico de vértigo
de origen vascular en una caso clínicamente compatible.














 
6 comentarios:
Hola colegas, muy interesantes los casos clinicos. Los felicito por la pagina. Luciano Urquiza ORL.
Mis felicitaciones y agradecimiento por su docencia.
Cómo hago para que mire mi RMN de cerebro simple
<Buenas, la verdad entiendo poco estuve investigando hasta que lle a está pagina. Gacias. el informe que le dieron a mí madre quería saber el significado y si es grave. Ella tiene limitación en la marcha arrastrando los pies, vertigos, naucias e incontinecia urinaria: Opinión: Hidrocefalia supratentorial moderada a severa compensada. Disminución de la amplitud del aspecto proximal del acueducto. Delgada asa vascular se insinúa en el meato del conducto auditivo interno derecho.
Muy interesante más por qué no se si es el caso que me está pasando tuve paralisis facial y desde entonces no siento confianza al andar no me caigo sin embargo tengo una sensación de que me quiero caer lo que más me preocupa es mi bebé ya que él tiene seis meses y yo cinco con el problema apenas me hice una resonancia magnética cerebral a ver qué sale ya hasta me siento que soy la unúnia la que le pasa
HOLA,MUCHÍSIMAS GRACIAS.ME AYUDARON MUCHO.SALUDOS.14 DE JUNIO
DE 2019
Publicar un comentario